Composite Bonding

Composite bonding is the process of using tooth coloured filling material to enhance the shape and contour of the teeth.

It can be used over the whole outer surface of the tooth or just the edges to enhance the smile.

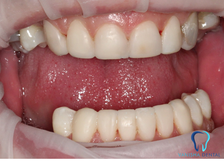
Pre-treatment

SK Exp 2.png
SK Exp 3.png

Wax-ups from lab

– the dental laboratory is asked to make wax ups (mock ups) of the planned size and shape of the new teeth.

 
SK Exp 7.png
SK Exp 8.png
SK Exp 9.png

Trial Smile

– the wax-ups are transferred to the mouth using a temporary material. This can be left in place for 1-2 weeks, allowing others to give feedback on your potential new smile. Once you have approved the temporary restorations, we can proceed with the final permanent restorations.

SK Exp 10.png
SK Exp 11.png

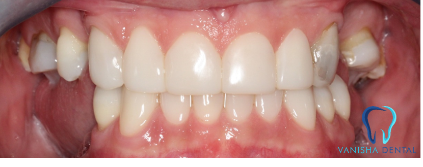
Post –Treatment

– Outcome following tooth whitening and composite bonding. (See Case 6 in portfolio for final outcome.)

SK Exp 12.png
SK Exp 13.png